A Case of Recanalization of Acute Basilar Artery Occlusion
Date:2025-11-24Category:Case ReportsViews:8
Zenith devices used in this case:

Patient Information
- Female, 67 years old
- Chief complaint: Dizziness for 2 days, worsened with altered consciousness for 5 hours
- NIHSS score: 16
- Muscle strength: Left limbs grade 3, right limbs grade 4
- Bilateral ataxia, bilateral Babinski sign (+)
Preoperative Angiography
Preoperative MRI: Distal basilar artery occlusion.

DSA before treatment: Bilateral posterior communicating arteries were patent; posterior cerebral arteries visualized clearly.

Left vertebral artery was dominant; distal basilar artery was hypoplastic. Poor visualization of superior cerebellar artery and thalamoperforating branches.
Devices
- 6F Guiding Catheter
- 5F Distal Access Catheter
- Zenith Stent Retriever
- Microcatheter
- Micro Guidewire
Procedure
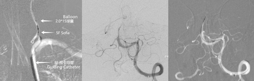
Left vertebral artery V1 segment was tortuous. A balloon-assisted DAC system was used to navigate through the tortuous segment. A 0.014-inch microwire failed to cross the occlusion due to torque control difficulty.

Switched to a 0.010-inch microwire, which successfully crossed the lesion and was advanced into the left superior cerebellar artery. Microcatheter angiography confirmed true lumen access. A Zenith Stent Retriever (4 mm × 20 mm) was deployed at the occlusion site.

After deployment of Zenith Stent Retriever, distal vessel branches reappeared. Post-thrombectomy angiography showed restored antegrade flow, but with residual severe stenosis.

3D DSA evaluation: Poor hemodynamic compensation at the lesion segment. Balloon dilation was considered risky due to inaccessibility and high risk of vessel rupture. Microcatheter was re-advanced across the stenosis. A 3.0 mm × 15 mm non-tapered intracranial stent was deployed slowly.

The stent expanded and apposed well, with good in-stent flow and improved visualization of distal branches.

15-minute follow-up angiography showed stable in-stent flow in the basilar artery

Postoperative Angiography
Postoperative CTA confirmed patency of the stented segment

Operator's Comments
- Challenging case: Basilar artery hypoplasia combined with ICAS-related occlusion is rare. Surgical indication must be carefully evaluated. Tortuosity of the proximal vertebral artery made it difficult to establish an effective wire track.
- High-risk procedure: Lesion located in the distal, small-caliber vessel. Balloon dilation posed significant rupture risk. Incomplete stent expansion or acute occlusion were also possible risks. Emergency intervention demanded substantial operator experience.
- Zenith Stent Retriever advantages: Zenith Stent Retriever is compatible with 0.017-inch microcatheters. Tipless design enhances safety during distal thrombectomy. Full-length radiopacity facilitates precise assessment of lesion morphology. In this complex case, Zenith Stent Retriever enabled safe recanalization in a hypoplastic basilar artery without vascular injury.
Surgeon Information
Zhongliang Li and Guangsen Cheng, Zhuhai People's Hospital
